Skip to content Skip to sidebar Skip to footer

Röntgen Thorax In 2 Ebenen

Rontgen Thorax Wikipedia

Rontgen Thorax Wikipedia

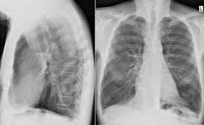
Röntgen thorax in 2 ebenen. Kalkeinlagerungen sind bei Osteo- oder Chondrosarkommetastasen möglich. Hierbei handelt es sich um zwei Aufnahmen die aus verschiedenen Richtungen Ebenen gemacht werden. Normalbefund und krankheitstypischer Befund.

Senkrecht auf Wirbelsäule und auf Filmmitte. 5011 FingerZehen ergänzende Ebenen 5020 HandFußKniescheibe ua jeweils in 2 Ebenen. Weitere Indikationsstellungen siehe Leitlinien für die Überweisung zur Durchführung von bildgebenden.

Lysebehandlung mehr als einer Stunde Einzelbehandlung oder ergänzend zu Nr. Röntgen Thorax in 2 Ebenen. Die sogenannte miliare Form kommt beim Schilddrüsen-CA beim Bronchial-CA und Knochensarkom vor.

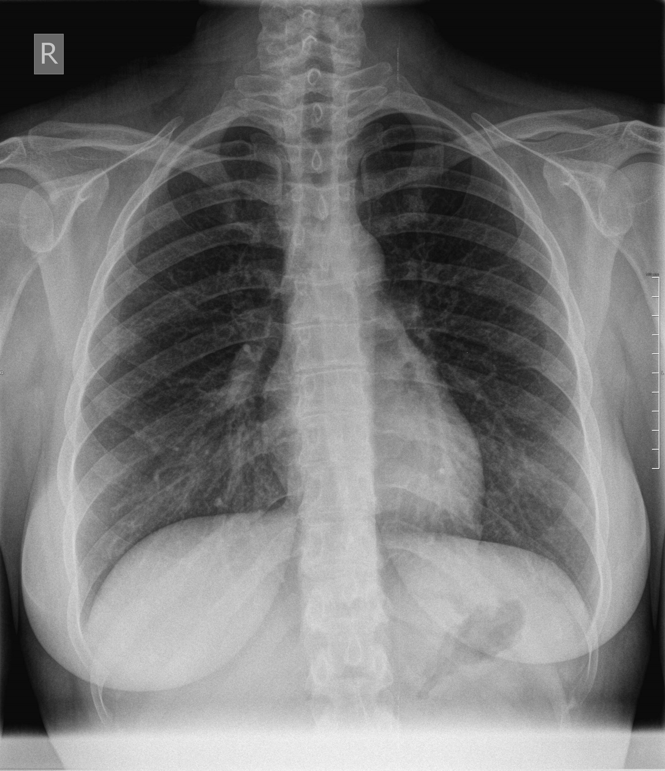
Von hinten nach vorne mit der Strahlenquelle im Rücken und von der Seite. Guten Abend meine Frage geht ausschließlich um die Anforderung der Röntgen Thorax Untersuchung. Auf einem normalen Röntgen-Thorax kann man die beiden Lungenflügel das Herz den knöchernen Brustkorb unter anderem Rippen und Schlüsselbein und das Zwerchfell beurteilen.

Röntgenaufnahmen des knöchernen Thorax undoder seiner Teile. Der Röntgen-Thorax dient der orientierenden Erstdiagnostik vor allem bei Pneumonie Krebs und chronisch-obstruktiver Lungenerkrankung COPD. Glatt konturiertes normal gewölbtes Zwerchfell in regelrechter Lage Zwerchfellrippenwinkel frei.

Patient steht am Lungenstativ Handrücken auf die Hüfte stützen Ellenbogen nach ventral drücken dadurch werden die Schulterblätter herausprojiziert. Ausgeprägte Verkalkung der linksseitigen Pleura mit Mediastinalverziehung nach links Thorax pa Pneumonie. 2826 5345 oder 5348.

Röntgen Thorax in 2 Ebenen. 5004 Panoramaschichtaufnahme der Kiefer.

Rontgen Thorax Wikipedia

Rontgen Thorax Wikipedia

Pneumologie Unsere Krankheitsbilder Im Rontgenbild

Pneumologie Unsere Krankheitsbilder Im Rontgenbild

Rontgen Thorax

Rontgen Thorax

Radiosurf

Radiosurf

Rontgen Thorax Lunge Grunde Ablauf Bilder Praktischarzt

Rontgen Thorax Lunge Grunde Ablauf Bilder Praktischarzt

Thorax Im Rontgenbild Klinik Via Medici

Thorax Im Rontgenbild Klinik Via Medici

Pneumologie Unsere Krankheitsbilder Im Rontgenbild

Pneumologie Unsere Krankheitsbilder Im Rontgenbild

Main Thorax

Main Thorax

Rontgen Thorax Lunge Grunde Ablauf Bilder Praktischarzt

Rontgen Thorax Lunge Grunde Ablauf Bilder Praktischarzt

Bildgebende Verfahren Rontgen Ct Und Mrt Kenhub

Bildgebende Verfahren Rontgen Ct Und Mrt Kenhub

Rontgen Radiologie Am Diakonissenkrankenhaus

Rontgen Radiologie Am Diakonissenkrankenhaus

Thorax Rontgen Zweite Ebene Infiltrat Lokalisation

Thorax Rontgen Zweite Ebene Infiltrat Lokalisation

Rontgen Thorax Grunde Ablauf Aussagekraft Netdoktor

Rontgen Thorax Grunde Ablauf Aussagekraft Netdoktor

Metastasen Der Lunge Eref Thieme

Metastasen Der Lunge Eref Thieme

Radiologie Der Lunge Lehrsammlung Copd

Radiologie Der Lunge Lehrsammlung Copd

Https Www Ukr De Imperia Md Content Kliniken Institute Roentgendiagnostik Fortbildung Rif Rif 13 04 Konvent R Ntgendiagnostik Des Thorax Fallbeispiele Pdf

Https Www Ukr De Imperia Md Content Kliniken Institute Roentgendiagnostik Fortbildung Rif Rif 13 04 Konvent R Ntgendiagnostik Des Thorax Fallbeispiele Pdf

Radiologie Des Thorax Online Lernen Mit Lecturio

Radiologie Des Thorax Online Lernen Mit Lecturio

Https Www Thieme Connect De Products Ebooks Pdf 10 1055 B 0037 144149 Pdf

Https Www Thieme Connect De Products Ebooks Pdf 10 1055 B 0037 144149 Pdf

Rontgen Thorax Typo3 Site P489569

Rontgen Thorax Typo3 Site P489569

Husten Bei Erwachsenen Nach Der Ursache Therapieren Pz Pharmazeutische Zeitung

Husten Bei Erwachsenen Nach Der Ursache Therapieren Pz Pharmazeutische Zeitung

Rontgendiagnostik Springerlink

Rontgendiagnostik Springerlink

Sammlung Rontgenanatomie Des Thorax

Sammlung Rontgenanatomie Des Thorax

Grundlagen Der Radiologie Und Nuklearmedizin Springerlink

Grundlagen Der Radiologie Und Nuklearmedizin Springerlink

Https Encrypted Tbn0 Gstatic Com Images Q Tbn And9gctzclawpugqrn71z2ybgeqbscq5n06cq4302zph Hkd0i2mgok6 Usqp Cau

Https Encrypted Tbn0 Gstatic Com Images Q Tbn And9gctzclawpugqrn71z2ybgeqbscq5n06cq4302zph Hkd0i2mgok6 Usqp Cau

Diagnose Der Pulmonal Arteriellen Hypertonie Bildgebende Verfahren Diagnostik Der Pulmonal Arteriellen Hypertonie Pah Arztcme

Diagnose Der Pulmonal Arteriellen Hypertonie Bildgebende Verfahren Diagnostik Der Pulmonal Arteriellen Hypertonie Pah Arztcme

Rontgen Thorax Lunge Grunde Ablauf Bilder Praktischarzt

Rontgen Thorax Lunge Grunde Ablauf Bilder Praktischarzt

Radiologie Der Lunge Lehrsammlung Copd

Radiologie Der Lunge Lehrsammlung Copd

Rontgenbildgebung Bei Covid 19 Patienten

Rontgenbildgebung Bei Covid 19 Patienten

Inhalt

Inhalt

Systematische Befundung Rontgenthorax Digitale Bibliothek Thuringen

Systematische Befundung Rontgenthorax Digitale Bibliothek Thuringen

Digitales Rontgen Diagnostikum Berlin

Digitales Rontgen Diagnostikum Berlin

Pulmonale Und Pleurale Infektionen Alle Verfahren Kommen Zum Einsatz Healthcare In Europe Com

Pulmonale Und Pleurale Infektionen Alle Verfahren Kommen Zum Einsatz Healthcare In Europe Com

Metastatische Absiedlung Eines Lungenkarzinoms Zm Online

Metastatische Absiedlung Eines Lungenkarzinoms Zm Online

Rontgen Thorax Befundung Youtube

Rontgen Thorax Befundung Youtube

Die Grundlagen Der Padiatrischen Radiologie

Die Grundlagen Der Padiatrischen Radiologie

Https Www Ukr De Imperia Md Content Kliniken Institute Roentgendiagnostik Fortbildung Rif Rif 13 04 Konvent R Ntgendiagnostik Des Thorax Fallbeispiele Pdf

Https Www Ukr De Imperia Md Content Kliniken Institute Roentgendiagnostik Fortbildung Rif Rif 13 04 Konvent R Ntgendiagnostik Des Thorax Fallbeispiele Pdf

Https Www Thieme Connect De Products Ebooks Pdf 10 1055 B 0036 136505 Pdf

Https Www Thieme Connect De Products Ebooks Pdf 10 1055 B 0036 136505 Pdf

Rontgenbildgebung Bei Covid 19 Patienten

Rontgenbildgebung Bei Covid 19 Patienten

Radiosurf

Radiosurf

Inhalt

Inhalt

Radiologie Der Lunge Lehrsammlung Copd

Radiologie Der Lunge Lehrsammlung Copd

Pneumothorax Universitatsklinikum Freiburg

Pneumothorax Universitatsklinikum Freiburg

Kann Man Eine Lungenembolie Beim Thorax Rontgen Erkennen

Kann Man Eine Lungenembolie Beim Thorax Rontgen Erkennen

Photo Chest X Ray Image 820167

Photo Chest X Ray Image 820167

Luftrohre Anatomie Eref Thieme

Luftrohre Anatomie Eref Thieme

Pneumothorax Sicher Diagnostizieren Und Therapieren

Pneumothorax Sicher Diagnostizieren Und Therapieren

Https Www Bayerisches Aerzteblatt De Fileadmin Aerzteblatt Ausgaben 2018 06 Einzelpdf Bab 6 2018 301 Pdf

Https Www Bayerisches Aerzteblatt De Fileadmin Aerzteblatt Ausgaben 2018 06 Einzelpdf Bab 6 2018 301 Pdf

Kasuistik Asbestpleuritis Asu

Kasuistik Asbestpleuritis Asu

Https Encrypted Tbn0 Gstatic Com Images Q Tbn And9gcrxeotis6kr1v9tyuvbwhbfhlusiu7vpwjif32in Ak Vi5zem Usqp Cau

Https Encrypted Tbn0 Gstatic Com Images Q Tbn And9gcrxeotis6kr1v9tyuvbwhbfhlusiu7vpwjif32in Ak Vi5zem Usqp Cau

Das sehen wir gleich.

Aufnahmen des knöchernen Thorax in mindestens 2 Ebenen. Bei uns in der Klinik ist es langsam zur Gewohnheit geworden Röntgen Thorax in einer Ebene anzufordern obwohl die Patienten nicht im Bett liegen. Hierbei handelt es sich um zwei Aufnahmen die aus verschiedenen Richtungen Ebenen gemacht werden. Ein Röntgen-Thorax gehört für viele medizinische Prozeduren zB. Aufnahmen seiner Teile in mindestens zwei Ebenen Abrechnungsbestimmung. Das sehen wir gleich. Große Bullae rechts Thorax-CT Pleurosis calcarea rechts Thorax pa Pleurosis calcarea links. Aufnahmen des knöchernen Thorax in mindestens 2 Ebenen. Dies ist ein unauffälliger Normalbefund einer Röntgen-Thorax-Aufnahme.


Normalbefund und krankheitstypischer Befund. Sollten Röntgenaufnahmen des Thorax wenn möglich immer in posterior-anterior Strahlengang erfolgen da das Herz ansonsten zu groß dargestellt wird. Normalbefund und krankheitstypischer Befund. Aufnahmen seiner Teile in mindestens zwei Ebenen Abrechnungsbestimmung. Weitere Indikationsstellungen siehe Leitlinien für die Überweisung zur Durchführung von bildgebenden. 3543 FFA mindestens 150m - 250m Fernaufnahme. 5004 Panoramaschichtaufnahme der Kiefer.

Post a Comment for "Röntgen Thorax In 2 Ebenen"