Skip to content Skip to sidebar Skip to footer

Empty Sella Syndrome And Weight Gain

Empty Sella Endotext Ncbi Bookshelf

Empty Sella Endotext Ncbi Bookshelf

Empty sella syndrome and weight gain. Primary Empty Sella Syndrome ACTH Hypersecretion and Normal Adrenocortical Function Report of Two Cases BRUCE H. Empty sella syndrome occurs most often in middle-aged women who are overweight and who have high blood pressure. A few years ago I was diagnosed with empty cella syndrome they cant see my pituitary.

January 24 2021 by by. Empty sella syndrome and weight gain. 30 pills per day.

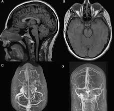
Talk to our Chatbot to narrow down your search. However endocrine evaluation strongly suggests a pituitary origin. No mass or other significant findings were noted Fig 1A and B.

With treatment patients who are deficient for example in either testosterone or growth hormone show a reduction in visceral adiposity when their hormone levels are normalized. Less commonly the condition occurs after pituitary surgery radiation therapy or infarction death of a pituitary tumor. Total empty sella syndrome.

When you gain weight despite eating very little. All can lead to increased body fat. The coexistence of a cervical meningioma rises the hypothesis of an ectopic ACTH syndrome.

Possible causes include Achard Thiers Syndrome. Heinen Bros Ag Empty Sella Syndrome And Weight Gain. The term empty sella was first used by Bush in 1951 to describe a peculiar anatomical condition observed in 40 of 788 human cadavers particularly females characterized by a sella turcica with a diaphragma sellae incomplete or that forms only a small peripheral rim with a pituitary gland not absent but flattened in such a manner as to form a thin layer of tissue at the bottom of the sella turcica.

I havent been the same since I was diagnosed. Arnab Maji General Family Physician.

Diverse Clinical Manifestations Of Empty Sella Syndrome An Imaging Based Study Middle East Medical Portal

Diverse Clinical Manifestations Of Empty Sella Syndrome An Imaging Based Study Middle East Medical Portal

Empty Sella Syndrome Diagnosis Symptoms And Treatment

Empty Sella Syndrome Diagnosis Symptoms And Treatment

Empty Sella Syndrome Archives Chiari Bridges

Empty Sella Syndrome Archives Chiari Bridges

Empty Sella Mri Scan Of The Brain Sagittal T2 Weighted The Arrow Download Scientific Diagram

Empty Sella Mri Scan Of The Brain Sagittal T2 Weighted The Arrow Download Scientific Diagram

Diagnosis Of Endocrine Disease Primary Empty Sella A Comprehensive Review In European Journal Of Endocrinology Volume 177 Issue 6 2017

Diagnosis Of Endocrine Disease Primary Empty Sella A Comprehensive Review In European Journal Of Endocrinology Volume 177 Issue 6 2017

Http Www Ajnr Org Content 17 10 1953 Full Pdf

Http Www Ajnr Org Content 17 10 1953 Full Pdf

Associated Eyes Diseases

Associated Eyes Diseases

Clinical Features In 20 Patients With Empty Sella Syndrome Download Table

Clinical Features In 20 Patients With Empty Sella Syndrome Download Table

How Can Some People Live Without Pituitary Gland Empty Sella Syndrome Just Fine While Others Experience Serious Hormonal Issues From This Condition Quora

How Can Some People Live Without Pituitary Gland Empty Sella Syndrome Just Fine While Others Experience Serious Hormonal Issues From This Condition Quora

Does Pituitary Compression Empty Sella Syndrome Contribute To Mri Negative Cushing S Disease A Single Institution Experience In Neurosurgical Focus Volume 48 Issue 6 2020

Does Pituitary Compression Empty Sella Syndrome Contribute To Mri Negative Cushing S Disease A Single Institution Experience In Neurosurgical Focus Volume 48 Issue 6 2020

Pdf Primary Empty Sella Syndrome And The Prevalence Of Hormonal Dysregulation A Systematic Review

Pdf Primary Empty Sella Syndrome And The Prevalence Of Hormonal Dysregulation A Systematic Review

Diagnosis Of Endocrine Disease Primary Empty Sella A Comprehensive Review In European Journal Of Endocrinology Volume 177 Issue 6 2017

Diagnosis Of Endocrine Disease Primary Empty Sella A Comprehensive Review In European Journal Of Endocrinology Volume 177 Issue 6 2017

In Vitro Fertilization Treatment Of A Patient With Primary Partial Empty Sella And Other Co Factors

In Vitro Fertilization Treatment Of A Patient With Primary Partial Empty Sella And Other Co Factors

Does Pituitary Compression Empty Sella Syndrome Contribute To Mri Negative Cushing S Disease A Single Institution Experience In Neurosurgical Focus Volume 48 Issue 6 2020

Does Pituitary Compression Empty Sella Syndrome Contribute To Mri Negative Cushing S Disease A Single Institution Experience In Neurosurgical Focus Volume 48 Issue 6 2020

Partially Empty Sella Syndrome And Weight Gain

Partially Empty Sella Syndrome And Weight Gain

Empty Sella Syndrome

Empty Sella Syndrome

Empty Sella Syndrome Symptoms Causes Diagnosis And Treatment

Empty Sella Syndrome Symptoms Causes Diagnosis And Treatment

Diverse Clinical Manifestations Of Empty Sella Syndrome An Imaging Based Study Middle East Medical Portal

Diverse Clinical Manifestations Of Empty Sella Syndrome An Imaging Based Study Middle East Medical Portal

Diverse Clinical Manifestations Of Empty Sella Syndrome An Imaging Based Study Nwafor Nn Akhigbe Ao Saudi J Health Sci

Diverse Clinical Manifestations Of Empty Sella Syndrome An Imaging Based Study Nwafor Nn Akhigbe Ao Saudi J Health Sci

Empty Sella Syndrome Symptoms Causes Diagnosis And Treatment

Empty Sella Syndrome Symptoms Causes Diagnosis And Treatment

50 Hypothyroidism Ideas Hypothyroidism Hypothyroidism Diet Thyroid Health

50 Hypothyroidism Ideas Hypothyroidism Hypothyroidism Diet Thyroid Health

Endocrinology Board Review Ppt Download

Endocrinology Board Review Ppt Download

Diagnosis Of Endocrine Disease Primary Empty Sella A Comprehensive Review In European Journal Of Endocrinology Volume 177 Issue 6 2017

Diagnosis Of Endocrine Disease Primary Empty Sella A Comprehensive Review In European Journal Of Endocrinology Volume 177 Issue 6 2017

1

1

Partially Empty Sella Syndrome And Weight Gain

Partially Empty Sella Syndrome And Weight Gain

2

2

Https Www Amjcaserep Com Download Index Idart 916812

Https Www Amjcaserep Com Download Index Idart 916812

Empty Sella Endotext Ncbi Bookshelf

Empty Sella Endotext Ncbi Bookshelf

Hypogonadotropic Hypogonadism

Hypogonadotropic Hypogonadism

Subclinical Hypothyroidism Or Central Hypothyroidism The Danger Of Thyroid Function Misinterpretation Anyiam 2018 Clinical Case Reports Wiley Online Library

Subclinical Hypothyroidism Or Central Hypothyroidism The Danger Of Thyroid Function Misinterpretation Anyiam 2018 Clinical Case Reports Wiley Online Library

Prolactinomas May Have Unusual Presentations Resulting From Massive Extrasellar Tumor Extension

Prolactinomas May Have Unusual Presentations Resulting From Massive Extrasellar Tumor Extension

Sheehan Syndrome Nature Reviews Disease Primers

Sheehan Syndrome Nature Reviews Disease Primers

Empty Sella Syndrome In A Male Child With Failure To Thrive Rath D Sahoo Rk Choudhury J Dash Dk Mohapatra A J Pediatr Neurosci

Empty Sella Syndrome In A Male Child With Failure To Thrive Rath D Sahoo Rk Choudhury J Dash Dk Mohapatra A J Pediatr Neurosci

Disorders Of Pituitary Gland The Master By M Sasi

Disorders Of Pituitary Gland The Master By M Sasi

Empty Sella Syndrome Wikidoc

Empty Sella Syndrome Wikidoc

Diagnosis Of Endocrine Disease Primary Empty Sella A Comprehensive Review In European Journal Of Endocrinology Volume 177 Issue 6 2017

Diagnosis Of Endocrine Disease Primary Empty Sella A Comprehensive Review In European Journal Of Endocrinology Volume 177 Issue 6 2017

Http Www Anncaserep Com Open Access Empty Sella Syndrome Presented With Schizophrenia Case Report 5886 Pdf

Http Www Anncaserep Com Open Access Empty Sella Syndrome Presented With Schizophrenia Case Report 5886 Pdf

Pituitary Adenoma Surgery Head And Neck Surgeon

Pituitary Adenoma Surgery Head And Neck Surgeon

Https Www Amjcaserep Com Download Index Idart 916812

Https Www Amjcaserep Com Download Index Idart 916812

Http Www Ajnr Org Content 17 10 1953 Full Pdf

Http Www Ajnr Org Content 17 10 1953 Full Pdf

Partially Empty Sella Syndrome And Weight Gain

Partially Empty Sella Syndrome And Weight Gain

Idiopathic Intracranial Hypertension Practical Neurology

Idiopathic Intracranial Hypertension Practical Neurology

Diverse Clinical Manifestations Of Empty Sella Syndrome An Imaging Based Study Nwafor Nn Akhigbe Ao Saudi J Health Sci

Diverse Clinical Manifestations Of Empty Sella Syndrome An Imaging Based Study Nwafor Nn Akhigbe Ao Saudi J Health Sci

Cureus Pseudotumor Cerebri Following Nexplanon Implantation

Cureus Pseudotumor Cerebri Following Nexplanon Implantation

Empty Sella Syndrome In A Male Child With Failure To Thrive Rath D Sahoo Rk Choudhury J Dash Dk Mohapatra A J Pediatr Neurosci

Empty Sella Syndrome In A Male Child With Failure To Thrive Rath D Sahoo Rk Choudhury J Dash Dk Mohapatra A J Pediatr Neurosci

Hypopituitarism Pathology Review Osmosis

Hypopituitarism Pathology Review Osmosis

Clinical Features In 20 Patients With Empty Sella Syndrome Download Table

Clinical Features In 20 Patients With Empty Sella Syndrome Download Table

2

2

1

1

Check the full list of possible causes and conditions now.

Heinen Bros Ag Empty Sella Syndrome And Weight Gain. The coexistence of a cervical meningioma rises the hypothesis of an ectopic ACTH syndrome. Could Empty Sella Syndrome cause you to loose weight and also prevent you putting weight on - I am a 59 yr old male previously to being diagnosed with ess I had back pain which after an ct. Unfortunately these types of endos are not everywhere and tend to hang out at larger medical centers that have a pituitary program. Check the full list of possible causes and conditions now. Arnab Maji General Family Physician. Talk to our Chatbot to narrow down your search. Sagittal and coronal MR images showed a partial empty sella. When you gain weight despite eating very little.


30 pills per day. We report a 46-year-old female with empty sella and partial loss of pituitary function to whom Cushings disease was diagnosed. The empty sella syndrome may cause no symptoms at all and seldom causes serious symptoms. Depending on which specific pituitary hormones are disrupted a person with empty sella may experience a number of symptoms including weight gain. Nobody seemed overly concerned I inject myself with 2 ccs of testosterone every two weeks. When you gain weight despite eating very little. Empty Sella Syndrome Insulin Resistance Weight Gain Symptom Checker.

Post a Comment for "Empty Sella Syndrome And Weight Gain"